Daijiworld Media Network - New Delhi
New Delhi, Oct 28: Routine chest X-rays, commonly used to screen for tuberculosis (TB), are failing to detect a large number of asymptomatic cases, according to a new study published in The Lancet Global Health.
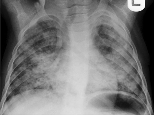
Researchers from the University of Cape Town, South Africa, found that standard chest radiographs — even when used alongside symptom-based screening — missed more than 40% of TB cases among people who showed no symptoms but lived with patients diagnosed with pulmonary TB.
The study screened 979 household contacts of TB patients in three South African communities using universal sputum microbiological testing, which served as the reference standard. Pulmonary TB was confirmed in 5.2% of participants, but 82.4% of these individuals had no symptoms such as cough, fever, or weight loss.

“More than 80% of confirmed TB cases among household contacts were asymptomatic; chest radiograph screening missed over 40% of these,” said Dr Simon C. Mendelsohn, corresponding author and researcher at the South African Tuberculosis Vaccine Initiative.
The team warned that reliance on symptom-based or X-ray-based community surveys could lead to a significant underestimation of TB prevalence, especially in high-burden countries.
According to the World Health Organization (WHO), around 2.7 million of the estimated 10.8 million people with TB globally in 2023 went undiagnosed or untreated — the so-called “missing millions.”
In the study, asymptomatic TB cases were found to have low bacterial loads and C-reactive protein levels comparable to healthy individuals, making detection even harder.
The sensitivity of chest radiograph screening for asymptomatic TB was just 56.1%, and combining it with symptom checks increased detection only slightly to 64%, well below the WHO’s target of 90% sensitivity and 70% specificity for effective screening tools.
Dr Mendelsohn emphasized that national TB prevalence surveys must incorporate universal sputum testing to accurately identify hidden infections and close the gap in global TB control.